Bienvenue

Sur notre site Internet, vous trouverez des moyens de prévention pour une bouche et des dents saines ainsi que des informations pratiques sur l'équipe et le cabinet.
N'hésitez pas à nous contacter !
Pour joindre le pôle de dentisterie pédiatrique (réservé uniquement aux enfants de moins de 18 ans) veuillez appeler le secrétariat au 01.80.40.09.89
Merci.



Cabinet Dentaire du Château
à VINCENNES

Dr. Eric ARVOUET, Omnipratique Parodontologie Prothèses sur implants

Dr. Guilaine GAUTHIER, Omnipratique Orthodontie Prothèses sur implants

Dr. Delphine LALLOUET, Omnipratique Implantologie

70, rue de Montreuil
94300 VINCENNES
Tél. : 01 43 28 00 30

Recherche

par mot-clés

Charte déntologique
Le blanchiment
Sur une dent ou pour tout votre sourire, il est aujourd'hui possible d'influencer la teinte de l'émail qui recouvre toutes vos dents naturelles.


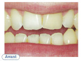
Les résultats

avant - Crédit photos Axarisaprès - Crédit photos Axaris
L'expertise des chirurgiiens-dentistes en matière de blanchiment permet de traiter la quasi-totalité des cas de figure avec un résultat tel que montré sur les photos ci-contre.


Les techniques

avant - Crédit photos Axarisaprès - Crédit photos Axaris
Il existe de nombreux procédés pour influencer la teinte de votre émail, votre chirurgien-dentiste saura faire le bon diagnostic et vous proposer le procédé adapté à votre cas personnel:au cabinet ou chez vous, suivant la spécificité de votre bouche.


Les précautions

Seul votre chirurgien-dentiste peut assurer le blanchiment dans des conditions de sécurité professionnelles, impératives pour votre santé, votre confort et votre esthétique.


Indépendentaire Editeur - Tous droits réservés